PuzzleOmni
OS-level architectural reconstruction of the AI-enabled pathology department, deeply integrating the full closed-loop process of data governance, R&D, tool deployment and computer-aided diagnosis, enabling the intelligent flow of pathology data and AI assets from production to application.
- End-to-end integration: unified management of data, models, tasks, and inference
- Human-in-the-loop traceability: annotation review, logging, and process replay
- Large-small model synergy: multimodal training and agent-based reasoning
Data Governance
Unified management of multi-source pathology data with standardization and intelligent querying to build a high-quality data foundation.
Research & Development
Providing convenient model training, validation and publishing environments to accelerate AI algorithm iteration and innovation.
Tool Deployment
Packaging AI capabilities as services for flexible deployment across various application scenarios, enabling rapid technology adoption.
Assisted Diagnosis
Providing real-time, intelligent diagnostic support for pathologists, improving diagnostic efficiency and accuracy.
Core Value for Pathology
Key enablers for improving full-chain pathology efficiency
Efficiency & Workload Reduction
AI-assisted slide reading and automated structured report generation significantly reduce repetitive tasks, allowing doctors to focus on complex case diagnosis.
Research Efficiency & Quality
Standardized data management and convenient model training tools accelerate research projects and outcomes. Built-in AI agents autonomously orchestrate tools, invoke models, optimize workflows, and continuously learn and evolve.
Data & AI Asset Management
Organize hospital data and knowledge resources, build and manage AI assets, enabling internal and external AI-assisted diagnostic services.
Core Positioning
A General-purpose AI Operating System for Pathology
Resource Manager & Interfaces
Data Governance
AI-assisted data collection and query (PIS integration), importing datasets and converting to standard formats (data construction).
Permission Management
Unified management of model tools (model platform), connecting scanners and server clusters (hardware interfaces).
Workflow & Compute Engine
Model Training
AI-assisted local data training for both large and small models.
MCP Deployment
Unified scheduling of large and small model tools, deployed as API tools or agents.
Smart Assistant
Leading native system-level AI assistant for research and applications.
Application & Interaction Platform
PuzzleSeg Slide Viewer
Advanced interactive design, modular AI tool deployment, using trained models for assisted diagnosis.
PuzzleAgent Report System
Advanced agent tools with leading interaction design, modular AI deployment, fully explainable, interactive, and traceable workflows.
More Application Tools
Continuously expanding application ecosystem to meet more pathology scenario needs.
Resource Manager & Interfaces
Workflow & Compute Engine
Application & Interaction Platform
Data Governance
AI-assisted data collection and query (PIS integration), importing datasets and converting to standard formats (data construction).
Model Training
AI-assisted local data training for both large and small models.
PuzzleSeg Slide Viewer
Advanced interactive design, modular AI tool deployment, using trained models for assisted diagnosis.
Permission Management
Unified management of model tools (model platform), connecting scanners and server clusters (hardware interfaces).
MCP Deployment
Unified scheduling of large and small model tools, deployed as API tools or agents.
PuzzleAgent Report System
Advanced agent tools with leading interaction design, modular AI deployment, fully explainable, interactive, and traceable workflows.
Smart Assistant
Leading native system-level AI assistant for research and applications.
More Application Tools
Continuously expanding application ecosystem to meet more pathology scenario needs.
Four Core Highlights
Comprehensive capabilities spanning research, model training, agent systems, and system integration
AI Ideas
Research & system navigation
Multimodal Pathology Model Training & Inference
From data collection to inference loop
Multi-Agent System
Agent configuration & collaborative execution
Cloud Services & System Integration
Platform deployment & continuous operations




The Closed-Loop Flywheel from Data to Diagnostic Support
Continuous feedback loop for data-model-application self-reinforcing cycle

Intelligent Data Governance
Integrating with PIS, the intelligent assistant helps import datasets and convert them into standard formats

Interactive Model Training
Supports AI-assisted local data utilization for large and small model training

AI Service Management
Supports compute deployment for model services with unified data resource management

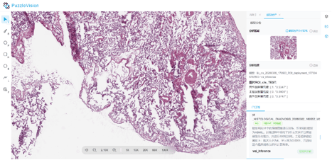
Intelligent Assisted Diagnosis
Deploy trained models as modular components in the AI slide viewer for assisted diagnosis and data annotation
Business feedback continuously flows back to data governance and model training stages, forming a self-reinforcing "data-model-application" cycle.
Layered System Architecture
Three-layer synergy of Application + AI Service + System layers for end-to-end production support
Platform Application Layer
AI & Integration Service Layer
Infrastructure Service Layer

PuzzleOmni achieves end-to-end production support through three-layer synergy of Application + AI Service + System layers.
FAQ
Start Building Your Digital Pathology Platform
Tell us about your use case and we'll provide a customized implementation plan
Content on this page is for product capability introduction and does not constitute medical diagnostic advice
